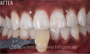
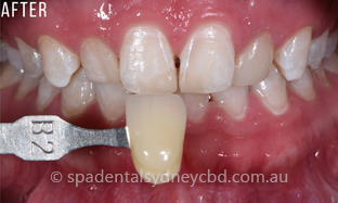
If you are self-conscious about the shade of your teeth or if you have teeth staining, professional teeth whitening treatment is a recommended option for you to consider. We have 3 types of teeth whitening treatment:
A 90 minute in chair session with an instant result. Sit back and relax while listening to your music, podcast or even watching a show. This is recommended for those who live a busy lifestyle or have an event coming up in short notice. We advise this to be a repeat treatment every 6-8 months.
Custom whitening trays to fit snugly over your teeth. This treatment is recommended over a course of 2 weeks to achieve a noticeable result. Top up any time you notice your teeth becoming a darker shade. This is recommended for those who have a bit more time such as when you're reading a book, driving to or from work, going for a short run, or even before bed. We advise this to be a repeat treatment every 2-3 months.
Whitening trays to fit snugly over your teeth. Similar to the custom trays, this treatment is recommended over a course of 2 weeks to achieve a noticeable result. Top up any time you notice your teeth becoming a darker shade. This is recommended for those who have a bit more time such as when you're reading a book, driving to or from work, going for a short run, or even before bed. We advise this to be a repeat treatment every 2-3 months.


















If you would like to speak to one of our cosmetic dentists about teeth whitening in Sydney CBD, contact us today. We are here to help you achieve the smile you want in the best way for you.